Osteoporose: o que é, quais sintomas e quando procurar um ortopedista
A osteoporose é uma doença silenciosa, mas que pode ser prevenida e tratada com acompanhamento médico especializado.

O que é osteoporose
A osteoporose é uma doença que provoca a
redução da densidade e da qualidade dos ossos, deixando-os mais frágeis e suscetíveis a fraturas.
É mais comum em
mulheres após a menopausa e em
idosos, mas pode atingir também homens e pessoas mais jovens em algumas condições específicas.
Com o passar dos anos, o corpo perde mais massa óssea do que consegue repor. Essa perda acontece de forma lenta e, na maioria das vezes,
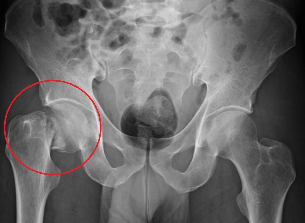
sem sintomas evidentes até que ocorra uma fratura — muitas vezes no quadril, coluna ou punho.
Principais sintomas e sinais de alerta
Apesar de ser silenciosa, alguns sinais podem indicar risco aumentado para osteoporose:
- Dores crônicas nas costas
- Perda de altura ao longo do tempo
- Fraturas após pequenas quedas
- Histórico familiar de osteoporose
- Menopausa precoce ou uso prolongado de corticoides
Diagnóstico: como é feito
O diagnóstico é realizado através da
densitometria óssea, exame simples e rápido que mede a densidade mineral dos ossos.
É recomendado especialmente para:
- Mulheres acima de 65 anos
- Homens acima de 70 anos
- Deve ser realizado antes em pessoas com histórico de fraturas ou fatores de risco para osteoporose
O ortopedista avalia os resultados e define o melhor plano de tratamento.

Tratamento da osteoporose
O tratamento envolve uma combinação de medidas:
- Uso de medicamentos específicos (como alendronato, risedronato, ibandronato, denosumabe, romosozumabe ou outros indicados conforme o caso)
- Ingestão adequada de cálcio e vitamina D
- Exercícios físicos regulares, principalmente atividades com impacto leve e fortalecimento muscular
- Evitar o tabagismo e o consumo excessivo de álcool
O acompanhamento médico é essencial para ajustar o tratamento e prevenir novas fraturas, principalmente em pacientes com histórico de fratura de quadril.
Prevenção: quanto antes, melhor
A prevenção deve começar antes dos primeiros sintomas. Uma alimentação equilibrada, exposição solar moderada, exercícios e controle do peso são medidas fundamentais para manter ossos fortes por mais tempo.
Quando procurar um ortopedista
Se você sente dores nos ossos, já teve alguma fratura, ou tem histórico familiar de osteoporose, é importante
procurar um ortopedista especialista.
O diagnóstico precoce e o tratamento adequado
podem evitar complicações sérias e preservar sua mobilidade e qualidade de vida.
Conclusão
A osteoporose é uma doença comum, mas controlável e tratável. Com acompanhamento médico e mudanças no estilo de vida, é possível envelhecer com segurança e autonomia.
Em Campinas e região, o Dr. Thiago Augusto — ortopedista e especialista em quadril — realiza avaliação completa e tratamento da osteoporose.
👉
Agende sua consulta e cuide da saúde dos seus ossos.





